SERVING ALL OF HUDSON VALLEY, NY & SURROUNDING AREAS
By Tischler & Patch Dental
SERVING ALL OF HUDSON VALLEY, NY & SURROUNDING AREAS
IMPLANT RETAINED DENTURES
SERVING ALL OF HUDSON VALLEY, NY
& Surrounding Areas
COMPARISON OF DENTURE TYPES
IMPLANT RETAINED DENTURES
SERVING ALL OF HUDSON VALLEY, NY
& Surrounding Areas
COMPARISON OF TOOTH REPLACEMENT TECHNOLOGIES
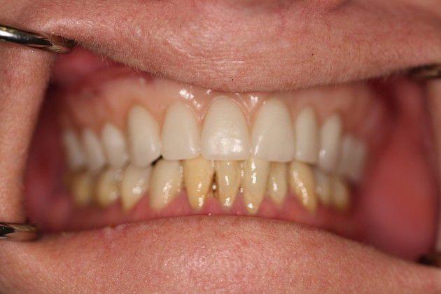
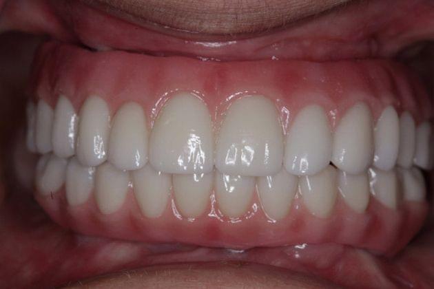
The Hybrid Denture
If you are missing or about to lose all of your upper or lower teeth and want the most functional, comfortable, and life like solution then the hybrid denture is your best option..

It's an esthetically beautiful teeth replacement made with a combination of denture and bridge materials to replace missing teeth, gums and loss of bone around lost teeth.

It's VERY firmly anchored to the jaw bone with dental implants and can only be removed by a dentist once it's placed.

The result is an amazing set of natural looking and natural feeling teeth that function like your original set.
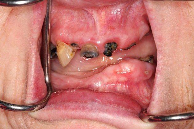
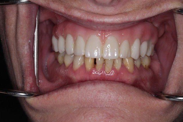
The Implant Overdenture
Our most popular and affordable implant retained denture solution is adding 2-4 implants to help retain your lower denture.  Say goodbye to the slipping and soreness associated with lower dentures.  Implants are VERY commonly added on the upper dentures as well to keep them from slipping, falling out, and allowing you to enjoy foods you want to eat again.
The Benefits Of Dental Implants At 
Teeth Tomorrow® Hudson Valley By Tischler & Patch Dental?
Teeth Tomorrow® Provides the only solution backed by 2 major studies in the highly acclaimed Journal of Prosthetic Dentistry!  One such study of over 2,000 implant bridges across multiple teeth tomorrow practices showed a 99% success rate.. Teeth Tomorrow® Hudson Valley By Tischler & Patch Dental is an internationally accredited and recognized leader in dental implant restorations.  You are in good hands.


DO YOU NEED MORE INFORMATION BEFORE YOU SCHEDULE YOUR FIRST APPOINTMENT?
Inside our pricing and information guide, you'll find answers to the most commonly-asked questions we see from dental implant seekers. 

We encourage you to read ALL the way through…

...because if you’re serious about doing your due diligence, this guide will give you valuable information that few other dentists will tell you upfront.

We also ask that you keep an open mind. 

Implants are a high-end dental procedure, so it's tempting to rule them out in favor of the cheapest solution.  

But I urge you to look deeper into the benefits, as compared to the alternatives, because....

Do You Need More Information
Before Scheduling Your First Dental Implant Appointment?
Inside our pricing and information guide, you'll find answers to the most commonly-asked questions we see from dental implant seekers. 

We encourage you to read ALL the way through…

...because if you’re serious about doing your due diligence, this guide will give you valuable information that few other dentists will tell you upfront.

We also ask that you keep an open mind. 

Implants are a high-end dental procedure, so it's tempting to rule them out in favor of the cheapest solution.  

But I urge you to look deeper into the benefits, as compared to the alternatives, because....
Why Choose Dr. Tischler?
Watch These Life Changing Stories...
Watch Ron's Smile 
Transformation...
I'm a professional entertainer. It's important to me to look good onstage. I'm in front of hundreds of thousands of people a year. I was in a position where my teeth were not looking good. I needed a significant number of implants. 

If you need implants, the Teeth Tomorrow solution is the way to go. I can smile anytime I want. I love that when I'm onstage, it gives me great confidence. To say it changed my life is an understatement. They gave me my life back.

Watch Kenny's Smile Transformation...
"It's a whole new world of confidence and happiness. The Teeth Tomorrow option was the most permanent, the most trouble-free. The next day, I had temporary teeth in my mouth, and they looked great, and they felt good. If you're hesitant at all to have something done about your problem teeth, Teeth Tomorrow is a fantastic solution."


Watch Desire's Smile Transformation...
I was 29 years old and I didn't want to go the rest of my life having a smile that was broken and cracked and that's when I found Teeth Tomorrow. 
 
Well, my teeth looked real, they feel real. I get compliments all the time and people ask me who my orthodontist was and it's the best thing I ever could've done. People always thought I was never happy. And now I'm just constantly laughing and joking, and I just enjoy life so much more. 
ARE YOU STARTING TO ENVISION WHAT IT FEELS LIKE TO HAVE YOUR SMILE, HEALTH, AND CONFIDENCE BACK?
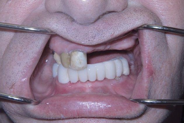
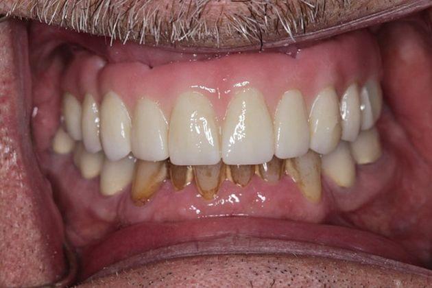
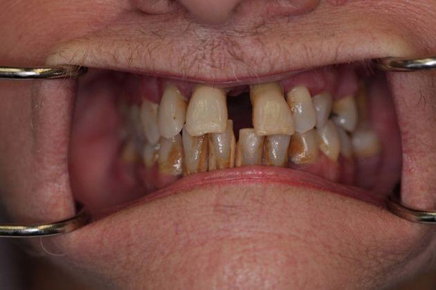
LOOK AT THESE SMILE TRANSFORMATIONS FROM TEETH TOMORROW® HUDSON VALLEY BY TISCHLER & PATCH DENTAL
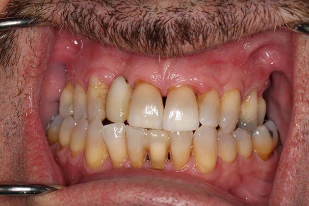
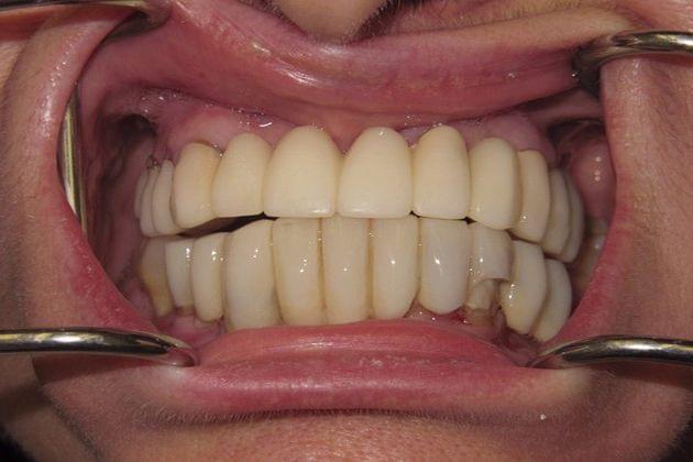
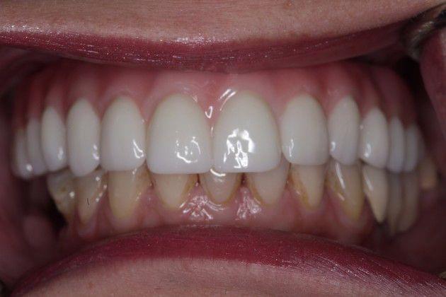
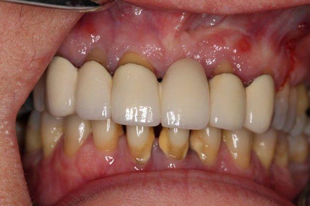
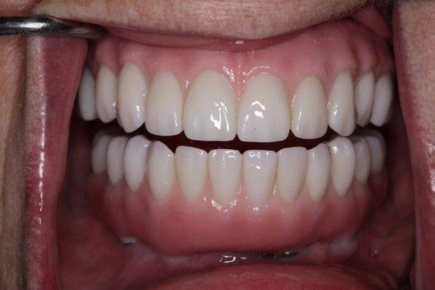
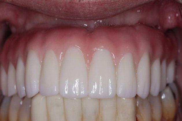
SMILE TRANSFORMATION #1
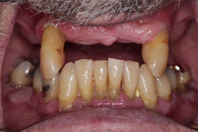
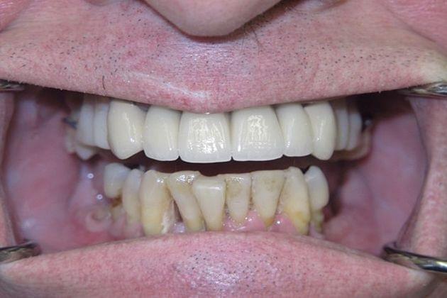
SMILE TRANSFORMATION #2
SMILE TRANSFORMATION #3
Access Our Dental Implant Information Guide Now
Access the information you need to make informed decisions...
SMILE TRANSFORMATION #4
SMILE TRANSFORMATION #5
SMILE TRANSFORMATION #6
SMILE TRANSFORMATION #7
SMILE TRANSFORMATION #8
SMILE TRANSFORMATION #9
Access Our Dental Implant Information Guide Now
Access the information you need to make informed decisions...
SMILE TRANSFORMATION #10
SMILE TRANSFORMATION #11
SMILE TRANSFORMATION #12
Access Our Dental Implant Information Guide Now
Access the information you need to make informed decisions...
SMILE TRANSFORMATION #13
SMILE TRANSFORMATION #14
SMILE TRANSFORMATION #15
SMILE TRANSFORMATION #16
Access Our Dental Implant Information Guide Now
Access the information you need to make informed decisions...
MEET DR. TISCHLER...
Michael Tischler, DDS
Dr. Tischler is of Faculty for the American Academy Of Implant Dentistry  Maxi Course at Rutgers University.  He is a Diplomat of the American Board of Oral Implantology/Implant Dentistry (one of only 500 worldwide); A Diplomat of the International Congress of Oral Implantologists; A Fellow and Honored Fellow of the American Academy of Implant Dentistry; A Fellow of the Academy Of General Dentistry, and; A Fellow of The Misch International Implant Institute.

Dr. Michael Tischler is an internationally recognized leader in reconstructive dentistry. Educating his colleagues in state-of-the-art techniques and technologies through his Tischler Dental Seminars series, Michael is the author of over 40 published articles on the topics of dental implants and bone grafting, as well as the Implant Editor for “Dentistry Today”- the nation’s leading clinical news magazine for dentists.

A true innovator in dental best-practices, he has placed and restored thousands of dental implants. His industry-leading success rates have earned him numerous awards for his skill as an implant and cosmetic dentist. Michael is the founder of the Teeth Tomorrow® Network of Advanced Implant Dentists, and performs the surgical aspects of the Prettau® Implant Bridge protocol for Teeth Tomorrow® Hudson Valley.
What Your Neighbors Are Saying About Our Office...
Copyright © 2017 - Teeth Tomorrow Hudson Valley - All Rights Reserved.
Teeth Tomorrow® Network Members are independently owned dental practices operated by individually licensed dentists that offer Teeth Tomorrow® branded products.

Teeth Tomorrow® is a franchise purchased by dentists who want to offer Teeth Tomorrow® branded products and services to their patients.

Teeth Tomorrow® is not a provider of dental care. Teeth Tomorrow® and its affiliates provide administrative and business support services to dental practices that are individually owned by licensed dentists.

Dental services, office practices and individual patient results may vary across Teeth Tomorrow® dental practices.
Powered By ClickFunnels.com